國家疾控局昨天(10日)舉行新聞發佈會,會上介紹當前全國整體進入流感流行季,流感活動水平明顯上升。
預計流感病毒是今冬明春我國呼吸道傳染病主要病原體,此外,鼻病毒和呼吸道合胞病毒也是急性呼吸道感染的主要病原體,存在傳播風險。
流感季來臨,孩子出現感冒咳嗽較常見,但有些症狀切不能忽視,若不及時就醫,可能引發“白肺”甚至窒息等嚴重後果。
發熱1天成“白肺”
呼吸道被堵塞
近日,浙江一名12歲女孩笑笑僅發熱1天,左肺就變成了“白肺”,呼吸急促到無法平躺。
一開始,她只是輕微咳嗽,發熱後在外院檢查提示肺炎、肺不張,轉診到浙大四院兒科時,笑笑出現呼吸急促、胸悶胸痛,血氧飽和度勉強維持在90%左右,胸片顯示左肺已完全呈“白肺”改變,病情急劇惡化。

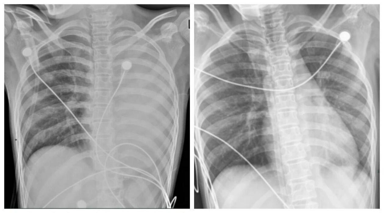
△笑笑治療前,左肺呈“白肺”狀態,治療後“白肺”被吸收,心臟邊緣清晰可見。圖源:浙大四院
浙大四院兒科副主任醫師虞琳憑經驗判斷,笑笑極有可能是患上了“塑型性支氣管炎”,經過多學科協作,最終決定緊急開展支氣管鏡手術。
手術中,支氣管鏡剛進入氣道就發現,笑笑的氣道黏膜充血水腫,大量黃白色黏痰不斷湧出,左主支氣管及各肺段開口已被黏液栓完全堵死。醫護團隊爭分奪秒,用負壓吸引、灌洗、鉗取等方式清理堵塞物,經過反覆操作,終於打通了被堵塞的呼吸通道。

△圖源:浙大四院
術後第二天,笑笑呼吸困難、胸痛的症狀明顯好轉,病情得到了初步控制。經過精準抗感染、祛痰、抗炎等系列治療,笑笑逐漸康復,順利出院。
“塑型性支氣管炎”是什麼病?爲何病情進展如此猛烈?
起病急、進展快
警惕“塑型性支氣管炎”
虞琳醫生介紹,“塑型性支氣管炎”是兒童期兇險的呼吸道急症,常見於2~12歲兒童,多由流感病毒、肺炎支原體、腺病毒等病毒或細菌感染引發。該病會導致支氣管阻塞、通氣和氣體交換功能障礙,嚴重時會引發危及生命的呼吸循環衰竭。
這種病的兇險之處在於,患者氣道會被大量膠凍狀的黏液栓和支氣管塑型堵塞,就像呼吸通道被水泥封住一樣,氧氣進不去、二氧化碳出不來,隨時可能窒息。
部分患者取出堵塞支氣管的內生物後,還能發現堵塞物外形就像支氣管的樣子。

△今年7月,浙江海寧13歲女孩玲玲(化名)持續高燒39℃不退,氣道被膠凍狀痰栓堵塞,醫生手術吸出痰栓,形似“樹枝”。圖源:海寧傳媒
“塑型性支氣管炎”的特點是起病隱匿、進展快,容易誤診漏診。若不及時治療,可能遺留閉塞性細支氣管炎、支氣管擴張症等後遺症,嚴重時直接危及生命。
這些症狀不是感冒!
及時就醫莫拖延
醫生提醒,孩子的呼吸道嬌嫩,看似普通的感冒也可能暗藏兇險。當孩子出現以下症狀時,就要警惕“塑型性支氣管炎”,應立即就醫,切勿當作普通感冒拖延。
孩子感冒咳嗽後出現持續發熱、喘息加重、呼吸急促、胸悶胸痛等症狀;
胸片或CT提示“肺不張”“肺實變”;
病情症狀在短時間內快速惡化。
冬春季是急性呼吸道傳染病高發季節,公衆應養成戴口罩、勤洗手、常通風等良好習慣。
此外,接種疫苗是預防流感等傳染病最有效、最經濟的手段,未接種流感疫苗的適齡人羣應儘早接種,以降低感染和發生重症的風險。
國家應急廣播提醒
目前全國整體已進入流感流行季
若孩子感冒咳嗽後
出現呼吸急促、胸悶胸痛等症狀
應及時就醫
切勿當作普通感冒拖延