首頁
要聞
娛樂
運動
科技
財經
時尚
健康
汽車
能源
軍事
社會
公益
房產
5G
工具
∨
極速新聞
>
社會
> 正文
女子在網絡平臺發佈“街頭付費扇巴掌”視頻,三亞警方通報:已依法對其進行教育
2025-11-11 06:12
由 三亞警方 發佈於 社會
570
11月10日,三亞市公安局天涯分局發佈警情通報:
在臉書上分享
分享到推特
分享到Whatsapp
相關推薦
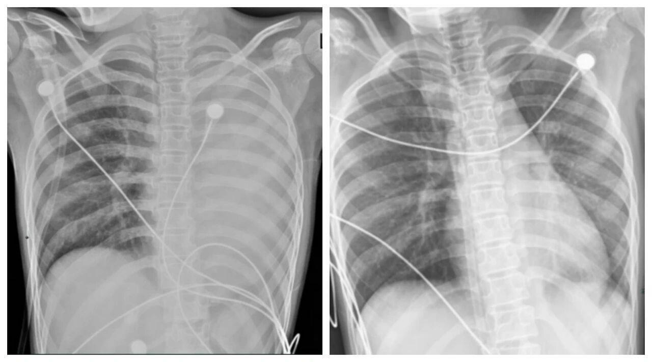
發熱1天左肺全白!這種病可堵塞氣道,別誤當普通感冒
2025-11-11 08:20
送驚喜?男子取近百萬現金給兒媳當彩禮:“明天還要追加100萬!”民警13分鐘攔截,真相值得警惕
2025-11-11 07:21
女子在網絡平臺發佈“街頭付費扇巴掌”視頻,三亞警方通報:已依法對其進行教育
2025-11-11 06:12
瘋牛鬧事傷人逃竄,豐順公安連夜搜捕終擊斃
2025-11-10 23:01
滅火器滅不了火苗,消防水帶一進水就破裂……不合格消防產品何以流入市場?
2025-11-10 19:35
“礪劍”出鞘!上海警方嚴厲整治電動自行車非法改裝!
2025-11-10 19:32
盲盒拆不出熱門款?3店員私拆盲盒售賣獲利
2025-11-10 19:16
“快找回那個舊冰箱和洗衣機!裏面放了很多黃金!”陳阿姨急壞了
2025-11-10 16:25
實用工具推薦
分享幾個職場工作中非常實用的工具網站:在線PS、智能摳圖
十六進制顏色碼錶
快壓知識百科
菲律賓生活必備!超實用app
推薦9款Windows實用軟件
2022手機實用工具軟件推薦
顏色代碼合集
最好用解壓軟件推薦,這三款就夠了:7-ZIP、可牛壓縮、WinRAR
解壓縮軟件好用排名
怎麼簡體轉繁體?
Scroll to Top