孩子感冒咳嗽看似常見
可12歲女孩笑笑(化名)的經歷
卻讓人感到後怕——
僅發熱1天,左肺就變成了 “白肺”
呼吸急促到無法平躺
血氧飽和度勉強維持在90%左右
情況十分危急!

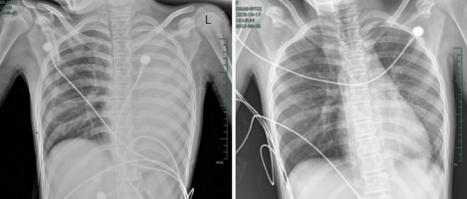
治療前後影像對比,左肺從“白肺”到正常狀態。
1
什麼病?如此來勢洶洶?
危險藏在黏液裏
據介紹,笑笑一開始只是輕微咳嗽,發熱到38℃,檢查提示肺炎、肺不張,轉診到浙大四院兒科時,病情已經急劇惡化,出現呼吸急促、胸悶胸痛,體溫38.5℃,只能靠5L/min的面罩吸氧維持血氧,胸片顯示左肺已完全呈 “白肺” 改變,肺部炎症進展迅猛。
兒科虞琳副主任醫師判斷,笑笑極有可能是患上了“塑型性支氣管炎”。
這是一種肺部感染的嚴重肺內併發症,由不同原因引發的支氣管內生性異物阻塞疾病,會導致支氣管阻塞、通氣和氣體交換功能障礙,主要症狀爲呼吸困難、喘息、胸痛及發熱,嚴重時會引發危及生命的呼吸循環衰竭。

醫生介紹,塑型性支氣管炎是兒童期兇險的呼吸道急症,常見於2—12歲兒童,多由流感病毒、肺炎支原體、腺病毒等病毒或細菌感染引發。起病隱匿、進展快,容易誤診漏診,若不及時治療,可能遺留閉塞性細支氣管炎、支氣管擴張症等後遺症,嚴重時直接危及生命。
“這種病的兇險之處在於,氣道會被大量膠凍狀的黏液栓和支氣管塑型堵塞,就像呼吸通道被‘水泥’ 封住,氧氣進不去、二氧化碳出不來,隨時可能窒息。”
接下來的支氣管鏡手術也印證了這一點。孩子的氣道黏膜充血水腫,大量黃白色黏痰不斷湧出,左主支氣管及各肺段開口已被黏液栓完全堵住。

從左至右分別爲三次支氣管鏡取出的塑型,第3次塑型明顯減少,灌洗液也比之前清亮。
由於治療及時精準,目前笑笑已順利出院,沒有留下嚴重的併發症。
後續檢查發現,引發她此次感染的是毒力極強的銅綠假單胞菌,多發生在免疫功能低下人羣。
2
醫生提醒:孩子出現這些症狀
千萬別拖延,儘快就診!
醫生提醒,孩子的呼吸道嬌嫩,看似普通的感冒也可能暗藏兇險。當孩子出現以下症狀時,就要警惕“塑型性支氣管炎”,應立即就醫,切勿當作普通感冒拖延。
孩子感冒咳嗽後出現持續發熱、喘息加重、呼吸急促、胸悶胸痛等症狀;
胸片或CT提示“肺不張” “肺實變”;
病情症狀在短時間內快速惡化。
冬春季是急性呼吸道傳染病高發季節,公衆應養成戴口罩、勤洗手、常通風等良好習慣。
此外,接種疫苗是預防流感等傳染病最有效、最經濟的手段,未接種流感疫苗的適齡人羣應儘早接種,以降低感染和發生重症的風險。
目前全國整體已進入流感流行季
若孩子感冒咳嗽後
出現呼吸急促、胸悶胸痛等症狀
應及時就醫
切勿當作普通感冒拖延
來源:央視網綜合人民日報、國家應急廣播、浙大四院、海寧傳媒