“就一根小小的,
怎麼偏偏能鑽到肝裏去?”
近日
37歲的李先生(化名)十分崩潰
他怎麼也想不到
一根小小的魚刺
在他體內“潛伏”了半個月
竟成了致命的“隱形殺手”!

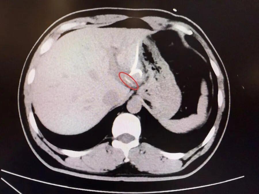
半月前,37歲的李先生(化名)誤吞魚刺卻未察覺,數天後出現腹痛、高熱(達40℃)等症狀,當地醫院診斷爲“肝膿腫”,治療後症狀反覆,CT檢查才發現肝臟左葉有魚刺——其已穿透胃壁入肝引發感染,十分危險,當地醫生評估後認爲,要徹底清除異物,需要進行左半肝切除手術,這讓李先生難以接受。

爲尋求更精準、微創的治療,李先生轉至復旦大學附屬中山醫院內鏡中心。“魚刺位置非常兇險,就在賁門旁刺入左肝,緊貼大血管。”接診的周平紅主任指出,魚刺位於賁門旁左肝處,緊貼大血管,且腹腔感染粘連嚴重,手術難度極高。
團隊提出創新方案:通過胃鏡在食道管壁夾層建隧道,讓內鏡“跨”胃壁入腹腔取刺。最終,歷時3小時手術,醫生分離粘連後順利取出3.5釐米長魚刺,全程無明顯出血。
術後李先生恢復順利,免於肝切除,保住肝臟功能。該手術爲全球首例“內鏡下經食管黏膜下隧道進腹肝異物取出術”。
其實
魚刺不慎誤吞至體內
這與的情況不在少數
吞嚥食物
容易導致口咽部的魚刺
扎傷局部黏膜
或者下行至更深的位置 !
專家提醒
魚刺、雞骨、牙籤等尖銳異物一旦誤吞,不可依賴“吞飯糰”“喝醋”等民間方法自行處理。若異物穿透胃腸壁,可引發胸腔大出血、腹膜炎、膿腫,甚至危及生命。
那該怎麼辦?
首先用力地咳嗽,看是否能把魚刺咳出來,如果能看到魚刺,可以用鑷子夾取,如果無明顯好轉,即刻及時就醫。
千萬不要小看任何一根魚刺
魚刺一旦進入身體
一般會出現在以下幾個“地段”
↓↓↓
事故多發“地段”
肉眼可見的喉嚨處,扁桃體、舌根這些地方。
如果魚刺卡在這裏會引起吞嚥困難,卡在扁桃體內側的魚骨張嘴比較容易發現,如果是扁桃體下極、梨狀窩這些地方,就要找醫生幫忙了。
重大事故多發“地段”
這個“地段”是最危險的地方,它就是主動脈,如果魚刺刺穿主動脈,可能造成大出血。
事故較少“地段”
魚刺進入胃內的情況比較少見,能通過重重關卡卡到這麼深,也是非常危險的。可能會導致胃穿孔,引發腹膜炎,如果不及時手術治療,也會危及生命。
遭遇魚刺卡喉怎麼辦?
正確做法
一、立即停止進食。
二、看看魚刺卡在哪裏,如果魚刺卡住的位置較淺,且肉眼可以看見,那麼可以讓身邊的人嘗試用鑷子將其取出。
三、但如果魚刺位置較深,肉眼無法發現,或是魚刺比較大,則應及時就醫。
此外,當不慎吞下尖銳的異物,出現腹痛、腹脹、噁心嘔吐、肛門停止排氣排便等情況時候,要高度懷疑腸梗阻可能。
劃重點
如果魚刺很大很硬
感覺頸部、胸部刺痛感強烈
建議即刻就醫
來源:新聞坊、錢江晚報